عملية تبييض الأسنان والجمال
منوعاتالجابي: ليس لها اي اضرار جانبية، ولا ننصح باستخدام الطرق الطبيعية
سبتمبر 7, 2013, 10:59 ص 4391 مشاهدات 0
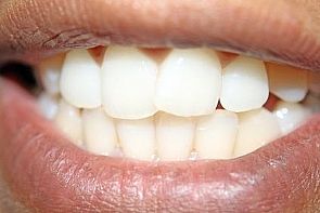
شهدت عمليات تبييض الاسنان في الاونة الاخيرة انتشارا كبيرا نتيجة التطور الحاصل في طب الاسنان ورغبة ممن يجرونها في الحصول على ابتسامة راقية لأنها تعبير انساني عن حالة السعادة والشعور بالسرور وتضفي عليهم منظرا جماليا وجاذبية خاصة.
ومع التطور العلمي الذي شهده طب الاسنان في الاونة الاخيرة ازداد الاهتمام بتبييض الاسنان في العيادات المتخصصة أو في المنازل لاسيما بعد ان صارت المواد المستخدمة فيه آمنة ومعتمدة من جهات طبية عالمية.
وقال الاستشاري في طب الاسنان الدكتور مروان محمد الجابي لوكالة الانباء الكويتية (كونا) ان تبييض الاسنان حالة من حالات التجميل لكن ذلك لا يعني ان الاسنان تصبح جميلة في حال اجراء التبييض لأن التبييض يناسب الاسنان المرصوفة بشكل جيد والتي يكون حجمها مناسبا وصفراء اللون اما الاسنان غير المرصوفة فلا يناسبها التبييض ولا يغيرها .
ودعا الى التفريق بين تبييض الاسنان وتجميلها 'فالتجميل يشمل التقويم وإعادة اصطفاف الاسنان بشكل جيد والجراحة الفكية وذلك حين يكون الفك بارزا بشكل يشوه منظر الوجه وكذلك يشمل الجراحة اللثوية وتركيب الاسنان او تتويجها او وضع قشرة من السيراميك تعدل من شكلها وتغير لونها' .
وذكر الدكتور الجابي أن الاسنان لا تتضرر من عملية التبييض خلافا لما يشاع حتى لو تكررت العملية مرة كل عام مضيفا ان الطب لا ينصح الحوامل بتبييض الاسنان نظرا لضعف اسنانهن ولثتهن اثناء الحمل.
ونفى صحة ما يشاع عن وجود علاقة بين عملية التبييض وضعف الاسنان مبينا انه ليس هناك اي اضرار ناتجة عن عملية التبييض بل لها فوائد عدة منها التجميل المؤقت.
واوضح الجابي ان هناك نوعين للتبييض الأول منزلي عن طريق القوالب ومواد التبييض والثاني في العيادة عن طريق الاجهزة عبر تسليط اشعة ضوئية على مواد التبييض مبينا ان التبييض في العيادة يستغرق ما بين ساعة و ساعتين.
وعن مدى استمرار الاسنان ناصعة بعد عملية التبييض افاد بان ذلك يعود الى الشخص نفسه من حيث بعض العادات الغذائية ككيفية شربه للشاي والقهوة او التدخين اضافة الى الملونات المستخدمة في الغذاء مضيفا ان تفريش الاسنان يعتبر من العوامل المهمة لمدى استمرار بياض الاسنان او اصفرارها .
وذكر ان اكثر الفئات العمرية اقبالا على التبييض هي الشباب لكننا 'لا نجري التبييض لمن هم دون سن ال 16 من العمر' .
وعن ضرورة توفير تخدير اثناء عملية التبييض اكد الجابي ان التبييض لا يتطلب وجود اي نوع من التخدير مضيفا ان كثيرا من الناس يعتقدون انه مؤلم لكن الواقع غير ذلك تماما وربما يسبب الازعاج فقط لبعض الاشخاص.
واوضح ان الاطباء لا ينصحون باستخدام الطرق الطبيعية لتبييض الاسنان مثل العسل والليمون او كربونات الصوديوم لأن هذه الطرق وما شابهها تنظف الاسنان لكنها لا تبيضها مبينا ان كربونات الصوديوم تنظف الاسنان لكن قد تخدش اللثة اذا استعملت بعنف. وبين ان تبييض الاسنان يتطلب معرفة جيدة بدرجة حساسية الاسنان واللثة والمواد المستخدمة لتلافي الآثار الجانبية التي ربما تحدث عن هذه العملية.
من جهته قال اختصاصي تركيب وتجميل وزراعة الاسنان الدكتور وليد محمد الذربان ل(كونا) ان هناك فوائد كثيرة لتبييض الاسنان من الناحية الجمالية باعتباره يمنح الشخص شعورا بالثقة بالنفس مضيفا ان التبييض لا يصلح للاشخاص الذين يعانون من حساسية الاسنان اوالذين لديهم التهابات وامراض في اللثة او لمن لديهم اسنان داكنة جدا.
ونصح الذربان الاشخاص الذين لديهم حشوات او تركيبات سنية ثابتة بتجنب التبييض لما له من اثر في خلق عدم تجانس في اللون بين السن الطبيعي والتركيب او الحشوة الموجودة مبينا ان هناك امورا ينصح بها لاطالة عمر تبييض الاسنان كالابتعاد عن استهلاك المواد التي تحتوي على الاصباغ وتفريش الاسنان بعد 30 دقيقة من اكلها او شربها لأن الاصباغ تؤثر على لون الاسنان.
ودعا الى استخدام اعواد الشراب ومحاولة منع لمس المشروبات التي تحتوي على اصباغ للأسنان الامامية واتباع ارشادات تنظيف الفم والاسنان كتفريشها باستمرار واستخدام خيوط الاسنان بانتظام ناصحا بمعاودة تبييض الاسنان عند الحاجة وزيارة طبيب الاسنان بانتظام كل ستة اشهر.

تعليقات